地下鉄成増駅から徒歩0分の歯医者

~位相差顕微鏡~口腔内の見えない敵とどう戦う?🦠

  • このエントリーをはてなブックマークに追加

こんにちは😀 成増駅前歯科クリニックです🦷

秋が深まり、朝晩は肌寒さを感じる季節となりました🍂

秋といえば、栗やさつまいも、ぶどうや梨など美味しい“秋の味覚”が楽しめる季節ですね🍠

ついつい食べすぎてしまう… という方も多いのではないでしょうか?

しかし、口腔内の健康があってこその“秋の味覚”です!

 

そこで当院では、口腔内の状態をより詳しく知るために「位相差顕微鏡(いそうさけんびきょう)」を用いた検査を取り入れています。

 

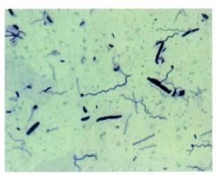
🔬「位相差顕微鏡」とは?

〜口腔内の見えない敵を“見える化”生きたまま細菌を見ることができます〜

皆さんは、ご自身の口腔内にどんな細菌がいるか見たことがありますか?

主に見ることのできる細菌👀

🦠運動性細菌

  • プラークが蓄積して口腔内衛生が悪化すると、口腔内細菌が繁殖して活発に運動する細菌。

🦠スピロヘータ

  • 長いらせん状で活発に運動する歯周病菌。
  • 歯周組織を破壊させる歯周病菌であり、細菌数が多く見られると歯茎の出血や退縮、歯周病の重症化、もしくは進行しやすい状態であると判断することができる。

🦠紡錘状菌

  • 毒素を産生したり、他の菌細菌と協力して歯周病を悪化させる細菌。
  • 口腔内のネバネバ、口臭を引き起こす原因の一つ。

🦠白血球

  • 外敵を排除する役割。歯周病などの炎症が起こってる可能性がある。

🦠カビ菌(カンジダ)

  • 口腔内の環境が悪化し、体の免疫力が低下すると微生物のバランスが崩れて異常に増加する。
  • 歯周病菌の住かにもなる。

🦠桿菌・球菌

  • 歯周病だけでなくむし歯ができやすい方にも見られる。

🦠口腔アメーバ

  • 歯周病が重度の場合に見られる。
  • 口腔粘膜の抵抗力が低下した時や炎症がある時のみ存在し、白血球などを捕食してしまう。

🦠口腔トリコモナス

  • 単細胞の原虫
  • 歯周病が重度の場合に見られる。

 

口腔内が清潔な人でも細菌はいます。
細菌があること自体は問題はありませんが、、、

  • 口腔内の数をコントロールできているか
  • 自身の口腔内にはどんな細菌がいるか

位相差顕微鏡の検査を通して知り、症状が出る前にリスクを把握し正しい対処をすることでむし歯や歯周病などを未然に予防・早期治療につなげることができます。

※特に初期の歯周病は自覚症状がなく、気が付かないうちに進行してしまう治らない病気🤕

 

◎自身の口腔内状況を知りたい人はもちろん!

・歯茎から出血する ・口臭が気になる

・むし歯になりやすい ・歯周病の治療を受けたことがある

などの方々は検査を受けてみてはいかがでしょうか!

当院では唾液検査と一緒に位相差顕微鏡検査が行えますのでお声がけください😄

口腔内状況を把握し、どんな歯磨き粉やケア用品を使用すれば良いのか一緒に考えていきましょう!

 

 

 

  • このエントリーをはてなブックマークに追加